Amanda Beloti Amanda Beloti 17/05/2016


O que são os osteófitos ou bicos de papagaio? 

Hoje nossa coluna é bem curta, com menos texto e mais imagens. Vou falar um pouco sobre os osteófitos, ou como popularmente conhecidos – quando na coluna - por “bicos de papagaio”, ou quando nos calcanhares como “esporões”. Todos ouvem, muitos tem, mas poucos sabem na realidade o que são.

A educação em saúde é muito importante para que todos saibam do que os médicos, fisioterapeutas, enfermeiros e demais profissionais da área de saúde estão falando quando falam do nosso corpo. Então, vamos lá!

Os osteófitos são formações ósseas anormais em forma de gancho, que se desenvolvem em QUALQUER articulação doente. Eles são comuns na evolução da artrose, uma doença caracterizada por uma degeneração da cartilagem articular. Os osteófitos são raramente responsáveis por SINTOMAS, mas podem causar redução da amplitude de movimento, além de deformações da articulação, dores (em alguns poucos casos) e dificuldades em atividades que antes eram mais fáceis no dia adia.

Os osteófitos são visíveis na radiografia em forma de uma protuberância óssea (um “chifrinho”). Habitualmente, os osteófitos em si não necessitam nenhum tratamento.

O que é importante é diagnosticar e tratar a artrose e suas consequências musculares, tendíneas e ligamentares em torno da articulação, para que a pessoa volte a ter um estilo de vida saudável. Abaixo, algumas imagens de livros e em raios-x, pra que agora todos possam identificar um osteófito quando for mencionado pelo profissional da área de saúde que lhe está atendendo.

Coluna lombar com osteófitos demarcados – visão nos raios-x.



Osteófitos em um quadril com artrose – visão pelos raios-x.



No calcanhar, o osteófito é conhecido por esporão. E pode dar embaixo do pé ou na direção do tendão de Aquiles. Ocorre por tração excessiva de algum dos tendões ou fáscia.

Os dois possíveis tipos de osteófitos no calcanhar, vistos pelos raios-x. O de cima, por excesso de tração do tendão de Aquiles. O de baixo, por excesso de tração da fáscia plantar.

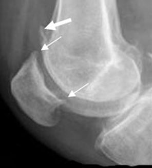
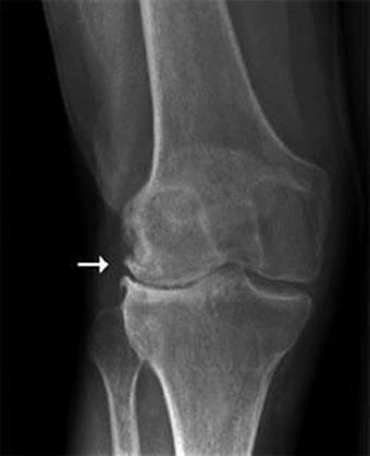
Osteófitos vistos pelos raios-x em um joelho direito em processo de artrose.

Os osteófitos podem aparecer na patela também, como demarcados acima.

Obrigada a todos pela leitura! Pedido de temas no e-mail ou no Facebook.

Até a próxima coluna!


Amanda Beloti é fisioterapeuta graduada em 2009 pela Universidade Federal de Juiz de Fora (UFJF). Cursa Especialização em Fisioterapia Traumato-Ortopédica pela mesma instituição. Instrutora Internacional de Pilates pela Pilates Plus (autorizada pela Associação Norte-Americana de Pilates). Sócia-proprietária do Consultório de Fisioterapia e Pilates STUDIO A. Saiba mais.

Os autores dos artigos assumem inteira responsabilidade pelo conteúdo dos textos de sua autoria. A opinião dos autores não necessariamente expressa a linha editorial e a visão do Portal ACESSA.com

ACESSA.com - O que s?o os oste?fitos ou bicos de papagaio?